Anonymous 11/01/2021 (Mon) 07:45:31 Id: 052adb No.11171 del
>>14898041

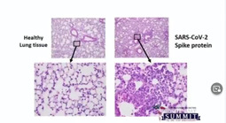
The good guy docs are racing to do real studies and get the word out. God bless their efforts, just watched this talk by pathologist Dr. Ryan Cole.

SCIENTIST SHOWS VACCINE EFFECTS IN AUTOPSIES. DON'T BELIEVE IT?
posted last night here but not noted, ought to be - this is one of the best short talks. Has lots of slides of tissue damaged from the the spike. Cole is blunt as hell.

https://rumble.com/embed/vlur67/?pub=4
https://rumble.com/vogxan-
scientist-shows-vaccine-effects-in-autopsies.-dont-believe-it-see-for-yours.html