Anonymous 08/28/2023 (Mon) 04:02 No.23363 del
(2.51 MB 3072x2304 4.JPG)
(2.09 MB 3072x2304 3.JPG)
(2.08 MB 3072x2304 2.JPG)
(2.07 MB 3072x2304 1.JPG)
Как говорила, попыталась сделать срезы стеблей крапивы. Ожидаемо облажалась. Попыталась ухватить зажимом и продольно плоскости бранши скальпелем срезать слой. Ну, под покровное стекло оно с натяжной лезло, но, слишком толстые срезы. После окраски йодом невозможно наблюдать внутренности. С других стекол образец тупо смылся при промывке, не хватило фиксации. Кончился спирт, фиксировала пламенем спички, чего очевидно недостаточно. Слишком толстые, грубые и деформированные срезы. Нда, нужен микротом.

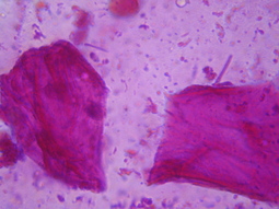
На замену - унылая картина моей слюны. Окраска Фукорцином в течении 3х минут, фиксация термическая, среда препарата - вода. Малое увеличение - x8/0.2 * x15, на конденсоре дисциллят. Высшее увеличение - х90/1.25 * x15, двойная иммерсия (вода на конденсоре, масло под объективом).

Видимо, ошметки эпителия, и его клетка (если "ядро" - не артефакт). Во всяком случае, выглядит весьма похоже на эпителиальную клетку.
И, сдобренная микрофлорой картина. Стрептококки - фиолетовые шарики. Местами собраны в цепочки даже. Продолговатое хз что, может микобациллы, может еще что-то. Забавно, но фукорцин и пламя не убили там все. Сразу после промывки наблюдала (минут 5 от промывки) - так очень редко, но, есть крутящиеся шарики и небольшие овалы, палочки. Движения медленные, круговые, характерные (не Броуновское движение явно). Стрептококки неподвижные. А это - не знаю что это. Ну, и остатки еды, препарат весьма грязноват.
inb4 чисти зубы, дурочка

И, тотальная лажа с каутеризатором. Не нашла проволоки, из которой я делала самые первые иглы, и, сейчас у меня есть лишь 0.3 и 0.5. 0.3 слишком тонкая, 0.5 не держит температуру(точнее, слишком быстро рассеивает) и медленно греется. Видимо, не хватает напряжения на затвор, или, тока аккамулятора. Пока что заряжаю батареи (севшие ниже рассчетных для затвора), может, хватит для операции, если будут на максимуме (не очень подход). Придется делать стационарную версию, но по той же схеме - лишь задрать выше напряжение на затвор и поднять ток. А ведь аккамуляторную версию я выбрала исключительно из соображений безопасности для моих яиц - мол, хоть схема и с замкнутым контуром, но уебать все еще может, гипотетически. Аккамулятор же - висит в воздухе, и формально безвреден.

Что-ж, блок питания с гальвано-развязкой надо, и не касаться ногами ничего металлического. Ну и руками, желательно, тоже. Ну или разрядник на правую ногу повесить.