/b/ - Random

Anything posted here are autistic works of fiction, only a fool would take them seriously.

Posting mode: Reply

Check to confirm you're not a robot
Email
Subject
Comment
Password
Drawing x size canvas
File(s)
Captcha-exempt posters may leave this blank.
No cookies?

Board Rules

Max file size: 350.00 MB

Max files: 5

Max message length: 4096

Manage Board | Staff: Moderate thread

Return | Magrathea | Catalog | Bottom

Expand All Images


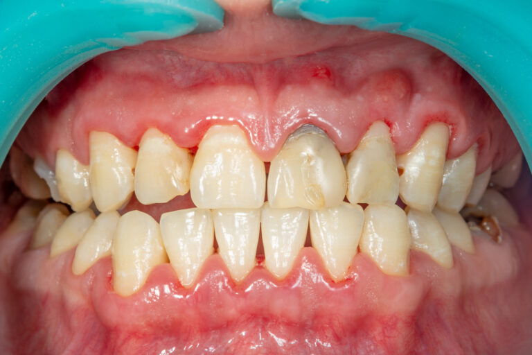
Anonymous 03/22/2026 (Sun) 21:14 [Preview] No. 75885
Anyone else at the beginning stage of periodontal disease? Think I have to start brushing three times a day etc. I don't know when I'll actually quit smoking... Hopefully taking way better care of my teeth otherwise stops the decay.


Anonymous 03/23/2026 (Mon) 18:47 [Preview] No.75909 del
I hardly brush my teeth, maybe three times a week and only with hot water. I see a dentist once a year. My teeth are just fine, very rarely have any cavities (only two in my lifetime), the reason being I do not drink soda and hardly consume any sugar. I am on a strict keto diet. The biggest problems people have with their gums and teeth is too much sugar consumption. Sugar is the number one cause of bad gums and teeth worldwide.


Anonymous 03/24/2026 (Tue) 10:34 [Preview] No.75930 del
>>75909
lol your mouth must smell like shit in reality.
I don't even drink sugary drinks by the way


Anonymous 03/24/2026 (Tue) 13:41 [Preview] No.75933 del
>>75930
Mouths are not supposed to smell good but if I don't want bad breath in public I just eat an altoid before going out. My teeth are in good enough condition no one knows any different. Even my dentist was shocked when I admit I hardly ever brush and only with hot water. When I told her I avoid sugar consumption in my diet it changed her way of thinking after she did her own research on the topic. Highly recommend the book "The Case Against Sugar" by Gary Taubes.


Anonymous 03/28/2026 (Sat) 13:13 [Preview] No.76044 del
Lots of products sold in stores are rip-offs. Before toothpaste everyone in the early 1900s used sodium bicarbonate diluted with water which you can buy bulk for dirt cheap. Before extensive shampoos or conditioners people would use homemade soaps to clean their hair and scalps. Females did not use 40 different cosmetics and skin care products at a time either and they were nowhere near picky, they'd be considered lucky to find a man who would love them. We did not have 100+ vaccines for children either, only a few and that was good enough to ward off most illnesses. When a child got sick they would get a doctor visit, given some cod liver oil washed down with a big glass of water and be fed chicken noodle soup. Most kids recovered the next day just fine. The modern push to max mindless consume is bleeding people dry and is 100% unnecessary. Goyim getting robbed of their money and dignity.


Anonymous 03/28/2026 (Sat) 13:53 [Preview] No.76045 del
>>76044
Don't need that retarded schizo shit in here. I can smell you from here. If you don't brush and fluss you're shit and suspectible to periodontal.


Anonymous 03/28/2026 (Sat) 16:45 [Preview] No.76048 del
>>76045
Enjoy buying your overpriced toxic chemical-laced shit. There are far more healthy and cheaper natural alternatives I have had no issues adopting.


Anonymous 04/02/2026 (Thu) 07:26 [Preview] No.76217 del
Brush my teeth like once a month and have never had a cavity or gum disease. Probably a combination of genetics and not drinking acidic, sweet shit like soda all the time. Wouldn't be surprised if the mouth bacteria/microbiome had an effect not unlike the gut microbiome and its effect on your overall health....



Top | Catalog | Post a reply | Magrathea | Return | Staff: Moderate thread




Board owners/volunteers: use the authenticated staff thread view for bans, IP/range info, thread settings, transfer, and spoil tools. This public thread page is shared with all visitors and caches, so the controls below are only delete/report.